Blepharoplasty (Eyelid Surgery)
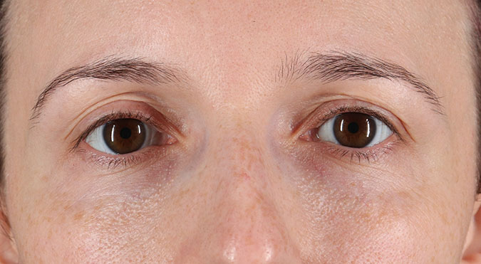
Case 54636
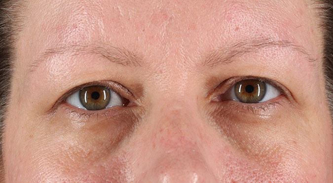
Case 54619
Gender: Female | Age: 20-29
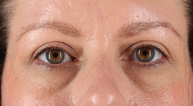
Case 54616
Age: 49
Case 54244-71655-RR
Gender: Female | Age: 61
Case 54233-70652-RR
Gender: Female | Age: 59
Case 53667
Age: 66
Case 53633
Age: 45
Case 53632
Age: 53
Case 53631
Age: 53
Case 53630
Age: 79
Case 53629
Age: 34
Case 53628
Age: 45
Case 53134
Case 26704
Dr. Rukmini Rednam has either authored or reviewed and approved this content.
Page Updated: